EXPRESIÓN DEL GANGLIÓSIDO N-GLICOLIL GM3 EN TUMORES MALIGNOS: UN ESTUDIO INMUNOHISTOQUÍMICO EMPLEANDO EL ACM 14F7.
Datos del archivo adicional
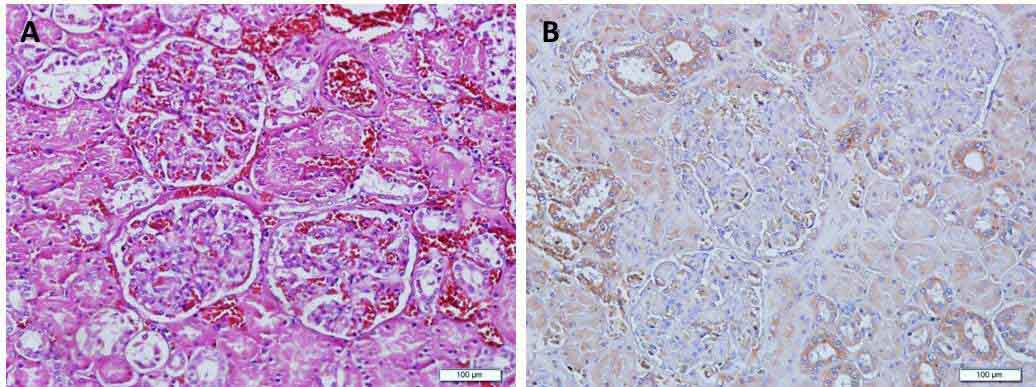
| Título | Figura 1. Expresión del gangliósido N-glicolil GM3 en corte de riñón humano normal. |
| Creador (o propietario) del archivo | — |
| Asunto | — |
| Tipo | Instrumentación |
| Breve descripción | — |
| Editor | — |
| Patrocinador | — |
| Fecha | 2014-06-25 |
| Fuente | — |
| Idioma | — |
archivo adicional
| Fichero | 85-204-1-SP.jpg |
| Nombre del fichero original | Figura 1.jpg |
| Tamaño del fichero | 76KB |
| Fecha de envío del fichero | 2014-06-25 11:04 |